Ministerio de Ciencia e Innovación

Noticias

  • CIBEREHD
    Desarrollan una nueva tecnología para tratar la porfiria aguda intermitente
    09/10/2018
    Desarrollan una nueva tecnología para tratar la porfiria aguda intermitente
  • CIBERCV
    Identificados nuevos mecanismos de estrés oxidativo, el desencadenante de numerosas enfermedades vasculares
    09/10/2018
    Identificados nuevos mecanismos de estrés oxidativo, el desencadenante de numerosas enfermedades vasculares
  • CIBER
    Un nuevo estudio aporta evidencia sobre la prevención de la obesidad infantil
    09/10/2018
    Un nuevo estudio aporta evidencia sobre la prevención de la obesidad infantil
  • CIBERESP
    Vivir muy cerca de autopistas con mucho tráfico podría relacionarse con tumores hematológicos infantiles
    08/10/2018
    Vivir muy cerca de autopistas con mucho tráfico podría relacionarse con tumores hematológicos infantiles
  • CIBERESP
    La reducción del tabaquismo pasivo se asocia al descenso de la mortalidad por cáncer
    08/10/2018
    La reducción del tabaquismo pasivo se asocia al descenso de la mortalidad por cáncer
  • CIBERES
    Un test rápido para caracterizar cepas de  tuberculosis permite abordar la vigilancia  transnacional de su transmisión  de forma  precoz
    08/10/2018
    Un test rápido para caracterizar cepas de tuberculosis permite abordar la vigilancia transnacional de su transmisión de forma precoz
  • CIBER
    CIBEROBN, CIBERCV y CIBERONC colaboran con el CIBERESP en el Encuentro para la Excelencia de la Investigación en Salud Pública
    08/10/2018
    CIBEROBN, CIBERCV y CIBERONC colaboran con el CIBERESP en el Encuentro para la Excelencia de la Investigación en Salud Pública
  • CIBERDEM
    Demuestran la importancia de la adherencia a la dieta mediterránea en adultos con diabetes tipo 1
    04/10/2018
    Demuestran la importancia de la adherencia a la dieta mediterránea en adultos con diabetes tipo 1
  • CIBERSAM
    Relacionan el recuento de neutrófilos en sangre con la pérdida de tejido cerebral en enfermedades mentales
    03/10/2018
    Relacionan el recuento de neutrófilos en sangre con la pérdida de tejido cerebral en enfermedades mentales
  • CIBERONC
    Descubren cómo llevar la inmunoterapia “a domicilio” en cáncer de mama HER2+
    03/10/2018
    Descubren cómo llevar la inmunoterapia “a domicilio” en cáncer de mama HER2+
  • CIBERCV
    Estudio en pacientes con insuficiencia cardíaca apunta hacia nuevos marcadores pronóstico de la enfermedad
    02/10/2018
    Estudio en pacientes con insuficiencia cardíaca apunta hacia nuevos marcadores pronóstico de la enfermedad
  • CIBERESP
    Relacionan el consumo de café en mayores de 65 años con una menor mortalidad cardiovascular
    02/10/2018
    Relacionan el consumo de café en mayores de 65 años con una menor mortalidad cardiovascular
  • CIBERFES
    Demuestran la utilidad de la técnica Trabecular Bone Score para identificar la fragilidad ósea en pacientes con hiperparatiroidismo primario
    01/10/2018
    Demuestran la utilidad de la técnica Trabecular Bone Score para identificar la fragilidad ósea en pacientes con hiperparatiroidismo primario
  • CIBERCV
    Identificados nuevos biomarcadores asociados con cambios estructurales y metabólicos en los ventrículos en casos de enfermedad cardiovascular
    27/09/2018
    Identificados nuevos biomarcadores asociados con cambios estructurales y metabólicos en los ventrículos en casos de enfermedad cardiovascular
  • CIBERONC
    Arkaitz Carracedo, premiado por la Fundación AstraZeneca
    26/09/2018
    Arkaitz Carracedo, premiado por la Fundación AstraZeneca
  • CIBERONC
    Caracterizan el papel de un posible marcador en adenocarcinoma de pulmón
    26/09/2018
    Caracterizan el papel de un posible marcador en adenocarcinoma de pulmón
  • CIBERSAM
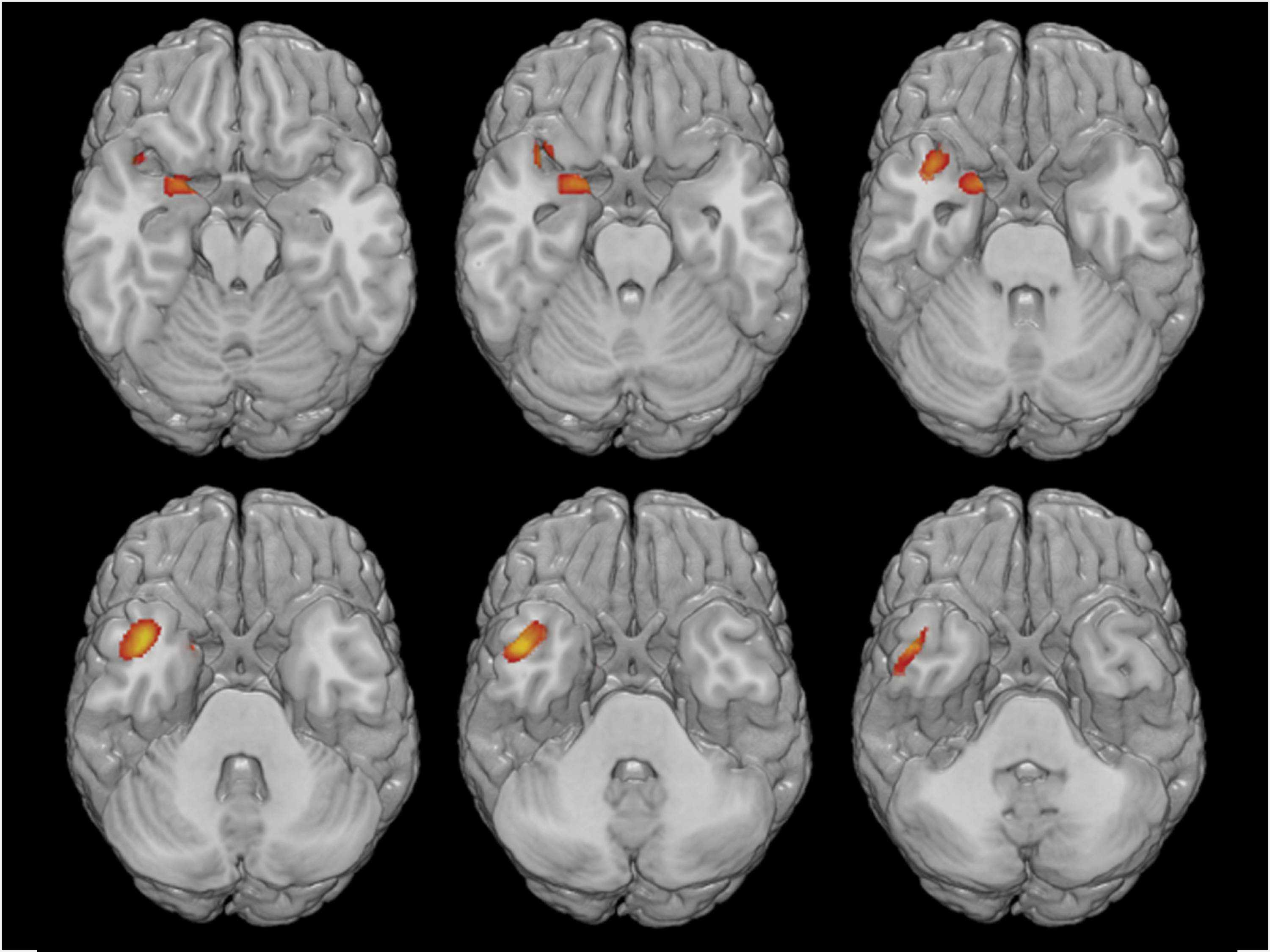
    La combinación de neuroimagen y aprendizaje automático, nuevas vías para el diagnóstico del  trastorno bipolar
    26/09/2018
    La combinación de neuroimagen y aprendizaje automático, nuevas vías para el diagnóstico del trastorno bipolar
  • CIBERBBN
    La expansión de células tumorales desafía la física actual
    26/09/2018
    La expansión de células tumorales desafía la física actual
  • CIBERCV
    Nueva terapia para el tratamiento del ictus en pacientes diabéticos
    25/09/2018
    Nueva terapia para el tratamiento del ictus en pacientes diabéticos
  • CIBERFES
    La esclerostina, proteína clave para predecir el riesgo de morir por enfermedad cardiovascular
    24/09/2018
    La esclerostina, proteína clave para predecir el riesgo de morir por enfermedad cardiovascular
  • CIBERES
    Doble ciclado en ventilación mecánica, poco frecuente pero potencialmente dañino en el paciente crítico
    24/09/2018
    Doble ciclado en ventilación mecánica, poco frecuente pero potencialmente dañino en el paciente crítico
  • CIBER
    Altos niveles de aminoácidos ramificados podrían producir daño vascular a través de la producción de moléculas inflamatorias
    20/09/2018
    Altos niveles de aminoácidos ramificados podrían producir daño vascular a través de la producción de moléculas inflamatorias
  • CIBER
    1 de cada 10 universitarios españoles ha tenido pensamientos suicidas en el primer año de carrera
    19/09/2018
    1 de cada 10 universitarios españoles ha tenido pensamientos suicidas en el primer año de carrera
  • CIBERES
    Un dispositivo simple y un algoritmo semiautomático posibilita el diagnóstico y tratamiento de apneas en atención primaria
    19/09/2018
    Un dispositivo simple y un algoritmo semiautomático posibilita el diagnóstico y tratamiento de apneas en atención primaria