Ministerio de Ciencia e Innovación

Noticias

  • CIBERESP
    UpPriority, una nueva herramienta para priorizar la actualización de preguntas de las guías clínicas
    16/10/2020
    UpPriority, una nueva herramienta para priorizar la actualización de preguntas de las guías clínicas
  • CIBERER
    Identifican un nuevo gen responsable de osteogénesis imperfecta
    15/10/2020
    Identifican un nuevo gen responsable de osteogénesis imperfecta
  • CIBERSAM
    Identifican patrones de conexión en el cerebro que indicarían el riesgo de desarrollar trastornos obsesivos en niños
    15/10/2020
    Identifican patrones de conexión en el cerebro que indicarían el riesgo de desarrollar trastornos obsesivos en niños
  • CIBERER
    Un estudio del CIBERER destaca el gran valor de los modelos animales para la investigación en enfermedades raras
    15/10/2020
    Un estudio del CIBERER destaca el gran valor de los modelos animales para la investigación en enfermedades raras
  • CIBERFES
    La proteína WRAP53 promueve la supervivencia neuronal y la recuperación funcional después de un accidente cerebrovascular
    14/10/2020
    La proteína WRAP53 promueve la supervivencia neuronal y la recuperación funcional después de un accidente cerebrovascular
  • CIBEROBN
    Demuestran la relación entre los microbios intestinales y la memoria reciente
    13/10/2020
    Demuestran la relación entre los microbios intestinales y la memoria reciente
  • CIBER
    La Fundación Francisco Soria Melguizo destina 900.000 euros a ayudas a la Investigación Biomédica
    13/10/2020
    La Fundación Francisco Soria Melguizo destina 900.000 euros a ayudas a la Investigación Biomédica
  • CIBERCV
    Demuestran las propiedades únicas de metoprolol, un fármaco antiguo con propiedades cardioprotectoras únicas
    13/10/2020
    Demuestran las propiedades únicas de metoprolol, un fármaco antiguo con propiedades cardioprotectoras únicas
  • CIBER
    Realizar 30 minutos al día de actividad física puede reducir un 16% el riesgo de muerte
    08/10/2020
    Realizar 30 minutos al día de actividad física puede reducir un 16% el riesgo de muerte
  • CIBERCV
    El aumento de una molécula en sangre se asocia con el volumen de hemorragia intracraneal
    07/10/2020
    El aumento de una molécula en sangre se asocia con el volumen de hemorragia intracraneal
  • CIBERESP
    Un estudio de biomarcadores en secuenciación del ADN demuestra que la cantidad y clonalidad de TCRs asocia claramente al pronóstico del cáncer colorrectal
    07/10/2020
    Un estudio de biomarcadores en secuenciación del ADN demuestra que la cantidad y clonalidad de TCRs asocia claramente al pronóstico del cáncer colorrectal
  • CIBERER
    Crean la primera base de datos con las variables genéticas de la población española
    07/10/2020
    Crean la primera base de datos con las variables genéticas de la población española
  • CIBERER
    Difusión de aminoácidos en células vivas mediada por un transportador sintético
    07/10/2020
    Difusión de aminoácidos en células vivas mediada por un transportador sintético
  • CIBEREHD
    Investigadores del CIBEREHD coordinan el registro europeo del manejo de Helicobacter pylori
    06/10/2020
    Investigadores del CIBEREHD coordinan el registro europeo del manejo de Helicobacter pylori
  • CIBERONC
    Identificado un nuevo mecanismo de resistencia al tratamiento con quimioterapia en sarcoma
    06/10/2020
    Identificado un nuevo mecanismo de resistencia al tratamiento con quimioterapia en sarcoma
  • CIBERCV
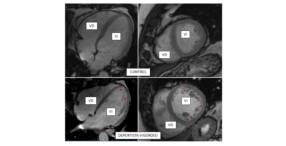
    Ejercicio vigoroso, corazón esponjoso
    06/10/2020
    Ejercicio vigoroso, corazón esponjoso
  • CIBERER
    Evalúan la eficacia de terapia génica con nanoanticuerpos de camélidos para la enfermedad de Huntington
    06/10/2020
    Evalúan la eficacia de terapia génica con nanoanticuerpos de camélidos para la enfermedad de Huntington
  • CIBERER
    Descubren una nueva enfermedad genética del sistema nervioso y cardíaco
    05/10/2020
    Descubren una nueva enfermedad genética del sistema nervioso y cardíaco
  • CIBERCV
    Dos marcadores de daño cardíaco, predictores de riesgo en pacientes con COVID-19
    05/10/2020
    Dos marcadores de daño cardíaco, predictores de riesgo en pacientes con COVID-19
  • CIBERES
    Generan un ‘mapa’ de la situación de la enfermedad neumocócica invasiva en España en la última década y alertan del aumento de casos en los últimos años
    05/10/2020
    Generan un ‘mapa’ de la situación de la enfermedad neumocócica invasiva en España en la última década y alertan del aumento de casos en los últimos años
  • CIBER
    Identificado un nuevo mecanismo implicado en el desarrollo de la lesión aterosclerótica
    05/10/2020
    Identificado un nuevo mecanismo implicado en el desarrollo de la lesión aterosclerótica
  • CIBER
    #QueSigaLaCiencia, una iniciativa para dar a conocer el trabajo en red del CIBER
    02/10/2020
    #QueSigaLaCiencia, una iniciativa para dar a conocer el trabajo en red del CIBER
  • CIBERESP
    La app Mosquito Alert ya permite avisar cuando nos pica un mosquito e incorpora dos nuevas especies de mosquito invasor
    02/10/2020
    La app Mosquito Alert ya permite avisar cuando nos pica un mosquito e incorpora dos nuevas especies de mosquito invasor
  • CIBERESP
    La mala calidad de sueño puede deteriorar la función física de las personas mayores
    01/10/2020
    La mala calidad de sueño puede deteriorar la función física de las personas mayores