Ministerio de Ciencia e Innovación

La deficiencia en IGF-1 altera los niveles de expresión de microRNAs y afecta a la incorporación postnatal de neuronas vestibulares

CIBERER | miércoles, 17 de febrero de 2016

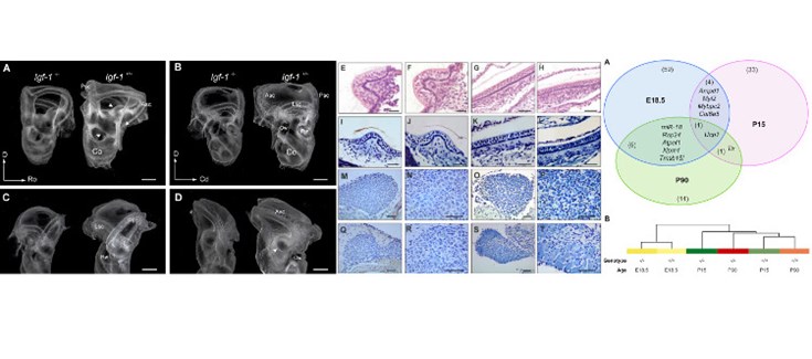
La U761 CIBERER-Unidad F1 SEFALer, liderada por la Dra. Isabel Varela-Nieto, en colaboración con el Dr. Joaquín Dopazo (U715) y la Dra. Marta Milo (Universidad de Sheffield en el Reino Unido), ha realizado un análisis comparativo del transcriptoma del órgano vestibular en ratones silvestres y knock-out para el gen Igf1. El déficit humano de factor de crecimiento insulínico (IGF) tipo 1 causa sordera neurosensorial sindrómica con discapacidad intelectual y retraso en el crecimiento. La U761 ya había demostrado que en el ratón deficiente el IGF-1 es esencial para el desarrollo y funcionamiento del órgano auditivo y que su deficiencia produce hipoacusia. Los órganos vestibular y auditivo conforman el oído interno y tienen un origen embrionario común. A pesar de ello no se había estudiado el potencial impacto del déficit de IGF-1 en la función vestibular. En este trabajo, publicado en la revista Hearing Research, se describe que no hay alteraciones notorias en la función y anatomía vestibulares, aunque sí se produce una disminución postnatal en la generación de neuronas vestibulares. La causa molecular de esta alteración podría encontrar su base en los cambios en la expresión de miRNAs, de los que por vez primera se describe la expresión en el vestíbulo y su potencial implicación en la maduración del órgano vestibular.

Artículo de referencia:

Rodríguez-de la Rosa L, Sánchez-Calderón H, Contreras J, Murillo-Cuesta S, Falagan S, Avendaño C, Dopazo J, Varela-Nieto I, Milo M. Comparative gene expression study of the vestibular organ of the Igf1 deficient mouse using whole-transcript arrays. Hear Res. 2015 Dec;330(Pt A):62-77.