Ministerio de Ciencia e Innovación

Descubren una proteína protectora contra el hígado graso, la enfermedad hepática más común en los países occidentales

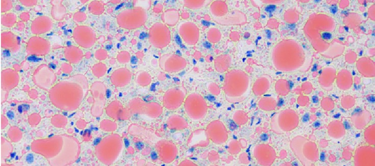
Tinción Oil Red O en secciones de hígado de ratón. Muestran la esteatosis del hígado (hígado graso), con acumulación de grasas, gotas de lípidos, (en rojo) dentro de las células. En azul, los núcleos celulares. (C Maíllo, IRB Barcelona).
IRB/IDIBAPS | martes, 17 de enero de 2017

Un equipo co-liderado por científicos del Instituto de Investigación Biomédica (IRB Barcelona) y el Instituto de Investigaciones Biomédicas August Pi i Sunyer(IDIBAPS), del Hospital Clínico de Barcelona y por investigadores del CIBEREHD, ha revelado la función preventiva de la proteína CPEB4 contra el hígado graso. Esta condición patológica del hígado suele derivar hacia inflamación crónica (esteatohepatitis no alcohólica), que puede desencadenar fibrosis, cirrosis y, en última instancia, cáncer de hígado. Este estudio de biología básica del hígado abre la vía a estudiar estrategias terapéuticas para prevenir y combatir el hígado graso. Los resultados se publican esta semana en Nature Cell Biology.

CPEB4 e hígado graso

El hígado graso no alcohólico se caracteriza por la acumulación de grasa en los hepatocitos. Hay múltiples condicionantes para desarrollarlo y no están bien descritos todavía, pero la obesidad y el estilo de vida, al igual que el envejecimiento, están asociados a un aumento de la incidencia. También hay estudios genómicos a gran escala que asocian variaciones  genéticas en el gen CPEB4 con defectos en el metabolismo de grasas.

Los científicos del IRB Barcelona eliminaron la proteína CPEB4 del hígado de ratones para estudiar su función. Observaron que a medida que envejecían, los ratones desarrollaban hígado graso. Además, ratones jóvenes alimentados con una dieta rica en grasa, y carentes de CPEB4, también desarrollaban esta condición y más acentuada.

Carlos Maíllo, investigasdor del IRB Barcelona, consiguió describir la función molecular de CPEB4. Revela que esta proteína es esencial para dirigir la respuesta a estrés del hígado. En concreto, el retículo endoplasmático -orgánulo celular relacionado con la síntesis y plegamiento de proteínas y el metabolismo de lípidos-, en situaciones de estrés -promovidas por ejemplo por una ingesta desmesurada de grasas-, detiene sus funciones para restablecer el equilibro celular. Dicha respuesta de “limpieza” está orquestada por CPEB4 y además varía según las horas del día, siendo en humanos más intensa durante el día –cuando el hígado tiene mayor trabajo- y menor durante la noche.

Sin CPEB4, el retículo endoplasmático es incapaz de activar la respuesta a estrés y los hepatocitos acumulan lípidos produciendo el hígado graso.

¿Nuevas terapias?

El investigador ICREA del IRB Barcelona Raúl Méndez, co-líder del trabajo, explica que“conocer ahora la función de CPEB4 en el hígado puede ser útil como valor predictivo para aquellas personas que tengan variantes patológicas de esta proteína y prevenir el desarrollo, por ejemplo, vigilando la dieta y las horas de ingesta. También puede ofrecer pistas para desarrollar terapias que mejoren las tareas de limpieza del hígado”.

Los investigadores consiguen revertir el hígado graso en ratones administrándoles un medicamento denominado Tudca, que hoy se usa para otro tipo de desórdenes. Este medicamento ejerce la misma función que las proteínas que pone en marcha CPEB4 y que se encargan de la limpieza celular, las chaperonas. “Quizás en un futuro podrían desarrollarse moléculas parecidas a Tudca, pero dirigidas específicamente a CPEB4, para aumentar la limpieza del hígado”, aventura Méndez.

“Este trabajo de investigación básica no tiene una aplicación clínica directa inmediata pero sienta las bases de la ciencia aplicada que viene después” indica Mercedes Fernández, co-líder del estudio y jefa de grupo en el IDIBAPS y en el Centro de Investigación Biomédica en Red en el Área de Enfermedades Hepáticas (CIBEREHD). Fernández advierte que dada la epidemia de obesidad en Estados Unidos y en el mundo, se prevé un aumento de afectados de hígado graso no alcohólico en las próximas décadas y no disponemos todavía de tratamientos adecuados para esta condición; El conocimiento básico sobre este problema médico es esencial para desarrollar estrategias terapéuticas en un futuro”.

Hoy, se estima que ya hay entre 80 y 100 millones de personas con hígado graso solo en Estados Unidos y que tienen un mayor riesgo de desarrollar cirrosis y cáncer de hígado. Cabe destacar, que la incidencia del cáncer de hígado se ha más que triplicado desde 1980 y es la primera causa de muerte de pacientes con cirrosis.

Este estudio ha recibido financiación de la Worldwide Cancer Research Foundation del Reino Unido, la Asociación Española Contra el Cáncer (AECC), la Fundación Botín/Banco Santander Universidades, el Ministerio de Economía y Competitividad/Fondos FEDER y de la Generalitat de Catalunya.

 

Artículo de referencia:

Carlos Maillo, Judit Martín, David Sebastián, Maribel Hernández-Alvarez, Mar García-Rocha, Oscar Reina, Antonio Zorzano, Mercedes Fernandez and Raúl Méndez

Circadian- and UPR-dependent control of CPEB4 mediates a translational response to counteract hepatic steatosis under ER stress

Nature Cell Biology (2017) DOI:10.1038/ncb3461